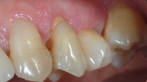
la dent au milieu de la photo apparait »usée »
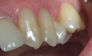
en collant de la résine on comble le manque!

et on réduit la sensibilité au collet

Olivier Voss Docteur en chirurgie dentaire
Adresse

34,  Boulevard de l’Hôpital,
75005 Paris

Parking
6, rue de l’Essai 75005 Paris

Consultations

Horaires
Lundi – Jeudi : 08.30 – 18.00
Vendredi : 08.30 – 14.00

Rendez-vous au :
01 47 07 18 69

Privacy Preference Center