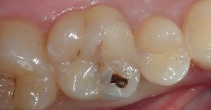
récidive de carie sous une résine ancienne
récidive de carie sous une résine ancienne
on voit un gros sequestre!
carie vue grâce au « carie detector »
dent isolée pour  faire la Biogreffe de « BIODENTINE »
dent « biogreffée » prête à recevoir l’inla
INLAY réalisé en CFAO (caméra à empreinte optique)
Inlay collé sous isolation
la dent « biogreffée » parait toute neuve!!

 

Olivier Voss Docteur en chirurgie dentaire
Adresse

34,  Boulevard de l’Hôpital,
75005 Paris

Parking
6, rue de l’Essai 75005 Paris

Consultations

Horaires
Lundi – Jeudi : 08.30 – 18.00
Vendredi : 08.30 – 14.00

Rendez-vous au :
01 47 07 18 69

Privacy Preference Center