GARDEZ VOS DENTS VIVANTES
Primum non nocere
Biociment - biocéramiques
Il est préférable de garder, quand cela est possible, ses dents vivantes, c’est un organe qui répond aux sensations extérieures (mastication, pressions et température)
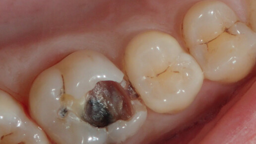
Dans le cas où une dent présente soit une carie, soit une perte de structure – sans toutefois être trop douloureux (absence de rage de dent –pulpite) on peut parfois envisager « un greffe» aux biociments (ou biocéramiques) il s’agit de combler la perte de dentine (ivoire) en recouvrant la pulpe dentaire d’un matériau biocompatible et biorégénérateur, (il n’est cependant pas assez solide pour servir d’obturation complète et définitive)
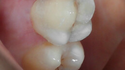
On doit ensuite reconstruire (ou réémailler) la dent avec une pièce de matériau collé que l’on nomme « onlay »
Cette technique représente une grande avancée, elle permet de garder des dents vivantes (notons qu’une proportion non négligeable de dents dévitalisées présentent le risque d’être extraites au cours de la vie)
De plus, le meilleur traitement endodontique (dévitalisation) ne peut être garanti de succès à 100% ! L’anatomie étant tellement capricieuse !
Les biociments et leur utilisation sont donc une avancée fantastique pour la préservation du capital de nos dents, comparée aux couronnes- qui mêmes si elles sont belles- restent des prothèses ( « la plus belle jambe de bois reste une jambe de bois » !!)
Rappelons que dans tout traitement médical, il est important de contrôler le soin et de tester la vitalité de la dent ainsi traitée, votre praticien vous donnera toutes les explications nécessaires lorsque cela sera indiqué.
Article rédigé par le praticien le 08/02/2022










