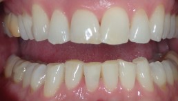
Notre patient rêvait d’avoir un sourire plus blanc ! Opération réussie !

Olivier Voss Docteur en chirurgie dentaire
Adresse

34,  Boulevard de l’Hôpital,
75005 Paris

Parking
6, rue de l’Essai 75005 Paris

Consultations

Horaires
Lundi – Jeudi : 08.30 – 18.00
Vendredi : 08.30 – 14.00

Rendez-vous au :
01 47 07 18 69

Privacy Preference Center