dans les soins  on choisit toujours la solution la moins mutilante pour les dents,si il reste assez d’émail on préfèrera l’inlay à la couronne ,et ce même si la dent est dévitalisée!

dent dévitalisée préparée pour  recevoir l’inlay
collage de l’inlay

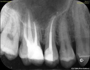
radiographie montrant les dents dévitalisées

Olivier Voss Docteur en chirurgie dentaire
Adresse

34,  Boulevard de l’Hôpital,
75005 Paris

Parking
6, rue de l’Essai 75005 Paris

Consultations

Horaires
Lundi – Jeudi : 08.30 – 18.00
Vendredi : 08.30 – 14.00

Rendez-vous au :
01 47 07 18 69

Privacy Preference Center