dent avec carie interne profonde
lésion carieuse importante
colorant sélectif de la carie
« Biodentine » en place
dent préparée pour inlay
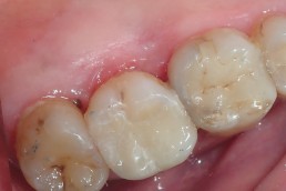
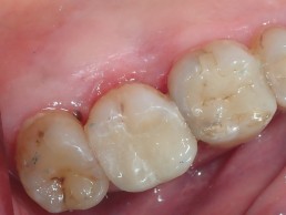
Inlay en place LA DENT RESTE VIVANTE
Olivier Voss Docteur en chirurgie dentaire
Adresse

34,  Boulevard de l’Hôpital,
75005 Paris

Parking
6, rue de l’Essai 75005 Paris

Consultations

Horaires
Lundi – Jeudi : 08.30 – 18.00
Vendredi : 08.30 – 14.00

Rendez-vous au :
01 47 07 18 69

Privacy Preference Center