Traitement alternatif à la dévitalisation, garder les dents vivantes !
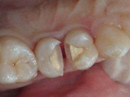
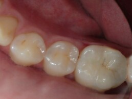
La bio greffe représente un traitement alternatif à des soins plus mutilants(couronne prothétique)quand bien sûr cela est possible !
C’est le virage que prend actuellement la médecine dentaire dite minimale invasive, on parle de « Biomimétique »
Globalement, on considère ce traitement comme additif(d’où la greffe)et ce à l inverse d’un traitement soustractif(comme c’est le cas pour une prothèse ou on enlève l émail pour donner la place à la future couronne)
Remarquons que dans le cas du traitement dit soustractif on enlève plus de tissu sain que nécessaire pour reconstruire !
Dans les années 90 le premier matériau bio régénérateur à usage clinique à été l’Agrégat de trioxyde minéral(MTA)
C était le précurseur des produits actuels ,ces produits ont évolués vers le silicate de calcium (commercialisé sous le nom de « Biodentine »). Ce matériau est plus résistant et il ne colore pas la dent.
Ce procédé stimule le dépôt d’hydroxyapatite, il ne présente aucune toxicité et il va créer un joint hermétique pour protéger le nerf et la pulpe dentaire, il y a stimulation des odontoblastes (cellules conjonctives de construction du tissu dentaire) en résumé les silicates de calcium ont le pouvoir de cicatriser le tissu pulpaire et d’éviter la dévitalisation.
D’après le docteur Fay Goldstep dans « dental tribune »novembre 2020


























